院外5次活检未确诊,自贡四医院呼吸科行经支气管针吸活检术(TBNA)1次搞定

时间:2020-06-08 浏览量:1002 来源:自贡市第四人民医院 作者:呼吸与危重症医学科

近日,自贡市第四人民医院呼吸与危重症医学科再次应用经支气管镜针吸活检术(简称TBNA),成功为1位支气管腔外占位性病变患者确诊疾病,使患者能得到及时有效的治疗。


事情经过是这样的:

57岁的王先生因咳嗽、咯痰在外院行胸部CT检查提示:右肺上叶支气管开口区占位性病变,伴腋窝淋巴结肿大。患者反复辗转多家医院,院外共行5次活检均未确诊。

王先生在院外做了4次支气管镜下活检及1次经皮肺穿刺活检均未确诊。第1次病理活检:慢性炎症改变伴干酪样坏死。第2次病理活检:送检物炎性坏死、出血及渗出物。第3次病理活检:显示炎症改变。第4次病理活检:慢性炎症改变。第5次病理活检:急慢性炎症改变伴大片坏死。患者遂出院。

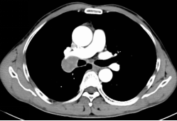
CT提示病灶在右肺上叶支气管开口区,腔外为主)

随后,患者又到上级医院行PET-CT提示:“右肺门占位伴右肺上叶支气管阻塞,腋窝淋巴结肿大,考虑肿瘤伴转移可能。”

5月15日,患者为进一步诊治来我院住院,因考虑其腋窝淋巴结有肿瘤转移行腋窝淋巴结活检,取右侧腋窝5枚淋巴结活检均为“反应性增生”。

后经我科会诊后转入我科再次行支气管镜下肺活检,并行经支气管针吸活检术(TBNA),病理结果提示小细胞肺癌。患者诊断小细胞肺癌明确,目前患者已完成第一阶段化疗顺利出院。

(支气管镜检查、TBNA术)

(TBNA病理结果)

后记:

患者在外院行4次支气管镜下肺活检均提示为炎症或大量坏死组织,未钳取到肿瘤组织,可能主要是肿瘤主要位于支气管腔外,且肿瘤组织表面覆盖大量的坏死组织,而经支气管镜钳夹活检每次只钳取到肿瘤组织表面的坏死物。患者在我科再次支气管镜检查,在行TBNA术后经支气管镜钳夹活检病理仍是大量坏死组织中见少量异形细胞。而TBNA穿刺针可以穿过肿瘤表面的坏死组织到达肿瘤组织中心而取得阳性结果。

TBNA是应用一种特制的带有可弯曲导管的穿刺针,通过支气管镜的活检孔道送入气道内,然后穿透气道壁对气管、支气管腔外病变进行针刺吸引,获得细胞或组织标本进行细胞学和病理学检查的一种技术。广泛应用于紧贴气管、支气管周围病变(结节、肿块、肿大的淋巴结、肺部病灶等)的定性诊断,并可用于恶性肿瘤的临床分期。其在肺门、纵膈病变及气道腔外型病变的诊断中发挥了重要作用,而且较纵膈镜及开胸活检风险小、并发症少,患者及家属容易接受。

目前我科已开展TBNA数十例,并发症少,诊断率高,是气道腔外型病变的优选诊断方法。目前TBNA已是我科常规开展的支气管镜下诊断技术,取得了很好的临床效果。



那么,TBNA技术是一项什么样的技术呢?

TBNA是应用一种特制的带有可弯曲导管的穿刺针,通过支气管镜的活检孔道送入气道内,然后穿透气道壁对气管、支气管腔外病变进行针刺吸引,获得细胞或组织标本进行细胞学和病理学检查的一种新技术。广泛应用于紧贴气管、支气管周围病变(结节、肿块、肿大的淋巴结、肺部病灶等)的定性诊断,并可用于恶性肿瘤的临床分期。

据科室副主任马医生介绍,常规TBNA(C-TBNA)在国内已开展近数年,目前已经积累了丰富的临床经验,其在肺门、纵膈病变及气道腔外型病变的诊断中发挥了重要作用,而且较纵膈镜及开胸活检风险小、并发症少,患者及家属容易接受。目前已衍生出超声引导下TBNA、CT引导下TBNA及X线透视下TBNA等众多检查手段,但是价格相对常规TBNA(C-TBNA)明显增高;故目前多数医院仍以常规TBNA为首选。科室利用现有医疗条件,率先在自贡市成功实施了常规经支气管镜针吸活检术,在较短时间内为患者确诊,使患者能得到了及时有效的治疗,受到病员及家属的好评;这标志自贡四医院呼吸与危重症医学科的支气管镜下介入诊疗技术上了一个新的台阶。



开展C-TBNA技术需要哪些条件呢?

C-TBNA技术是一项重要的操作技术,因其需要依据CT扫描片与气道腔内结构的对应关系进行穿刺点的定位,需要操作者具有以下能力:

1、非常熟悉气管腔内的解剖标志及具有较好的三维立体构象能力。

2、需要经过专门的操作训练。

3、熟悉穿刺针的特性。

4、熟练掌握定位方法和操作技术。

5、支气管镜医生、技术员、细胞病理学医生相互协作。


随着呼吸与危重症医学科在自贡地区开展C-TBNA操作,使支气管腔外病变又增加了一种重要的诊断手段,必将更好地为广大患者带来福音。



自贡市第四人民医院呼吸与危重症医学科

咨询电话:0813-2205275

专科门诊预约电话:0813-2401126(可提前1-3天电话预约或通过自贡市第四人民医院微信公众号预约)

(微信扫一扫关注自贡市第四人民医院)


呼吸与危重症医学科(慢阻肺、哮喘、鼾症、睡眠呼吸障碍、肺结节/肺癌、戒烟)专科门诊:


急救电话:0813-120  预约挂号电话:0813-2401126、0813-2401026 投诉电话:2300337 联系电话(传真):0813-2201981  电子邮箱:zg_120@126.com

檀木林院区:四川省自贡市自流井区檀木林街19号 汇东院区:四川省自贡市自流井区丹桂大街400号
办公时间:上午8:00-12:00,下午14:30-17:30(周一至周五,节假日除外)

蜀ICP备13006683号-1Copyright © 2002-2024 四川省自贡市第四人民医院 自贡市急救中心 四川卫生康复职业学院附属医院 All Rights Reserved