自贡四医院呼吸科率先开展特色技术——“经支气管镜针吸活检术”(C-TBNA)

时间:2018-06-24 浏览量:1058 来源:自贡市第四人民医院 作者:呼吸与危重症医学科

近日,自贡四医院呼吸科使用常规经支气管镜针吸活检术(简称C-TBNA)成功为两位支气管腔外占位性病变患者确诊疾病,使患者能得到及时有效的治疗,避免了外科开胸活检对病人身体的打击。该项技术为三甲新技术项目,是我市首例常规经支气管镜针吸活检术(C-TBNA


事情经过是这样的:

两位患者均因肺部肿块(支气管腔外型)来自贡四医院呼吸科诊治,经CT检查发现包块长在支气管腔外,通过常规方法无法对肿块进行活检。为了尽快明确诊断,指导下一步治疗,呼吸科的医生们经过反复讨论后决定采用经支气管镜针吸活检术(C-TBNA)来取活检。经与患者及家属沟通取得同意后立即着手相关准备。手术在全麻下进行,通过C-TBNA技术顺利取出病灶组织,两位患者均经病理科病理检查明确了诊断,为下一步治疗提供了依据。


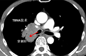
病例一:

(胸部增强CT提示肿块在右主支气管管腔外)


(通过CT片测得病灶于标记点的距离,确定进针角度及深度)


病例二:

(胸部增强CT提示肿块在右中下叶支气管管腔外)


(通过CT片测得病灶于标记点的距离,确定进针角度及深度)

自贡四医院呼吸科对这两例病人开展的是常规TBNA(C-TBNA)技术,均取得了很好的效果。


那么,TBNA技术是一项什么样的技术呢?

TBNA是应用一种特制的带有可弯曲导管的穿刺针,通过支气管镜的活检孔道送入气道内,然后穿透气道壁对气管、支气管腔外病变进行针刺吸引,获得细胞或组织标本进行细胞学和病理学检查的一种新技术。广泛应用于紧贴气管、支气管周围病变(结节、肿块、肿大的淋巴结、肺部病灶等)的定性诊断,并可用于恶性肿瘤的临床分期。

据呼吸科马医生介绍,常规TBNA(C-TBNA)在国内已开展近数年,目前已经积累了丰富的临床经验,其在肺门、纵膈病变及气道腔外型病变的诊断中发挥了重要作用,而且较纵膈镜及开胸活检风险小、并发症少,患者及家属容易接受。目前已衍生出超声引导下TBNA、CT引导下TBNA及X线透视下TBNA等众多检查手段,但是价格相对常规TBNA(C-TBNA)明显增高;故目前多数医院仍以常规TBNA为首选。该项检查在我市至今未开展,自贡四医院呼吸科利用现有医疗条件,率先在我市成功实施了经支气管镜针吸活检术,在较短时间内为两位患者确诊,使他们得到了及时有效的治疗,受到病员及家属的好评;这标志自贡四医院呼吸科的支气管镜下介入诊疗技术上了一个新的台阶。



开展C-TBNA技术需要哪些条件呢?

C-TBNA技术是一项重要的操作技术,因其需要依据CT扫描片与气道腔内结构的对应关系进行穿刺点的定位,需要操作者具有以下能力:

1、非常熟悉气管腔内的解剖标志及具有较好的三维立体构象能力。

2、需要经过专门的操作训练。

3、熟悉穿刺针的特性。

4、熟练掌握定位方法和操作技术。

5、支气管镜医生、技术员、细胞病理学医生相互协作。



随着自贡四医院呼吸科在自贡地区率先成功完成C-TBNA操作,使呼吸科又增加了一种重要的诊治手段,必将更好地服务该地区广大患者。



自贡市第四人民医院呼吸内科

咨询电话:0813-2205275

专科门诊预约电话:0813-2401126(可提前1-3天电话预约或通过自贡市第四人民医院微信公众号预约)

(微信扫一扫关注自贡市第四人民医院)


呼吸内科(慢阻肺、哮喘、鼾症、戒烟)门诊:

急救电话:0813-120  预约挂号电话:0813-2401126、0813-2401026 投诉电话:2300337 联系电话(传真):0813-2201981  电子邮箱:zg_120@126.com

檀木林院区:四川省自贡市自流井区檀木林街19号 汇东院区:四川省自贡市自流井区丹桂大街400号
办公时间:上午8:00-12:00,下午14:30-17:30(周一至周五,节假日除外)

蜀ICP备13006683号-1Copyright © 2002-2024 四川省自贡市第四人民医院 自贡市急救中心 四川卫生康复职业学院附属医院 All Rights Reserved