你的椎间盘还好吗

时间:2025-12-26 浏览量:1981 来源:自贡市第四人民医院 作者:冯福婷

椎间盘由透明软骨终板.髓核.纤维环构成,随年龄增长,髓核出现脱水.变性.弹性减低,纤维环出现裂隙,周围韧带发生松弛,这些可能引发椎间盘问题,今天,就让我们从影像学的角度,进一步了解自己的椎间盘。

腰痛怎么拍片?

很多朋友会问:“医生通过检查不能判断腰痛原因吗?”实际上,腰痛的原因非常复杂。可能是肌肉劳损.韧带损伤,也可能是关节炎,而当椎间盘突出压迫到邻近的神经根时,疼痛常常会沿着坐骨神经的走行放射到腿部,形成典型的“腰腿痛”或“坐骨神经痛”。这时,影像检查就成为了医生重要的“透视眼”,帮助看清腰椎内部结构的变化:

1.X光片

 

优势:检查速度快.费用低.辐射剂量小,可初步观察骨骼结构,如是否存在骨折.脱位.骨质增生.脊柱侧弯等。

局限:对椎间盘.神经根.肌肉等软组织显示不清,无法准确判断腰椎间盘突出.椎管狭窄等软组织病变。

适用情况:腰痛初步筛查,怀疑有骨骼损伤.退行性改变或外伤后排查骨折。

2.CT扫描:

优势:对骨性结构显示清晰,能准确判断骨折.骨质增生.椎管狭窄等病变,也可粗略观察椎间盘形态和钙化情况。

局限:对软组织分辨率低于MRI,辐射剂量高于X线。

适用情况:外伤后怀疑骨折.骨质疏松性压缩骨折.骨刺或钙化检测,以及术前评估骨性结构病变。

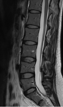
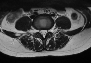
3.MRI(磁共振成像):

优势:无辐射,对软组织(如椎间盘.脊髓.神经根)显示极为清晰,能准确判断椎间盘突出程度.神经根受压情况.脊髓病变等,还可发现隐匿性骨折.软组织肿瘤等。

局限:检查时间较长,体内有金属植入物(如心脏起搏器.金属内固定物)的患者一般不能进行。

适用情况:腰痛伴下肢放射痛.麻木,怀疑腰椎间盘突出.神经根受压.脊髓病变.软组织损伤或肿瘤时。

椎间盘突出怎么预防?

1.保持正确坐姿,如老话所说的坐如钟,腰背挺直,双肩放松,双脚放平。可以在后背放一个腰垫,维持腰椎生理曲度。不跷二郎腿,少穿高跟鞋。

2.避免长时间久坐或站立,定期起身活动,每45分钟适当休息5分钟,更不要学葛优躺。特别是青少年,保持良好的姿势是关键,要养成良好的习惯。

3.避免长时间弯腰劳动,弯腰时注意发力姿势,更不要直接弯腰搬运重物,特别是老年人由于骨质疏松的患者会间接导致骨折的发生,正确的是先蹲下,慢慢发力。

4.选择合适的板床。不要贪图一时的舒适,过软的床垫会导致腰部在睡眠中不自觉的塌陷,使椎间盘长时间处于受压状态,增加椎间盘突出的风险。过硬的床垫不能贴合人体脊椎的正常生理曲线,脊柱会长时间处于紧张状态,加重腰酸背痛。

5.控制体重,过度肥胖增加了腰椎的负荷,加速对椎间盘的磨损。

6.适当的进行锻炼,如打太极.瑜伽.游泳等通过锻炼增加腰部肌肉力量,提高腰椎稳定性,但要注意合理规划时间,避免过度锻炼。

7.老年人注意预防骨质疏松,适当的补充一些钙.维生素.蛋白质的食物,钙是骨骼健康的重要元素,有助于维持骨的强度促进骨骼修复预防骨质疏松,但要避免过量的摄入高糖,高脂肪的食物。这些食物可能会加重炎症或骨质流失。

8.注意保暖,腰部保暖对椎间盘突出的患者至关重要,寒冷会导致腰部肌肉回缩,增加椎间盘压力,从而加重疼痛。

椎间盘突出如何治疗?

1.保守治疗(非手术治疗)

也是大多数不严重的患者的治疗方式,急性期注意卧床休息1-3天,避免过度劳动,注意要选择合适的硬木板床,采取侧卧或仰卧位,仰卧时可以在膝盖下方垫薄枕,侧卧时在两腿间夹薄枕,维持腰椎生理曲度。

2.药物治疗

在医生的指导下选择合适的药物,来消炎止痛,缓解症状。

3.物理治疗

热敷和冷敷交替使用,有助于缓解炎症和疼痛;牵引治疗,通过牵引的方法,使椎间盘间隙增大,减轻对神经根的受压。

4.中医治疗(针灸疗法)

通过刺激特定穴位,调节气血的运行,缓解疼痛。推拿按摩;通过专业的推拿手法放松肌肉,缓解疼痛。中药疗法;根据症状选用活血化瘀,通络止痛功效的中药治疗。

5.手术治疗

严重者在医生的建议下进行手术治疗(一般都是微创手术如椎间孔镜等),通过剥离突出的纤维环,解除对神经根和脊髓的压迫。

提醒:

腰椎间盘突出症是一个逐渐发展的过程。通过CT和MRI影像,我们可以捕捉到腰椎间盘突出的“预警信号”,从而及早干预,延缓甚至避免疾病的发生。

急救电话:0813-120  预约挂号电话:0813-2401126、0813-2401026 投诉电话:2300337
联系电话(传真):0813-2201981  电子邮箱:zg_120@126.com 咨询电话:0813-2102560

南湖总院:四川省自贡市自流井区紫薇路1331号  檀木林院区:四川省自贡市自流井区檀木林街19号 汇东院区:四川省自贡市自流井区丹桂大街400号
办公时间:上午8:00-12:00,下午14:30-17:30(周一至周五,节假日除外)

蜀ICP备13006683号-1Copyright © 2002-2026 四川省自贡市第四人民医院 自贡市急救中心 四川卫生康复职业学院附属医院 All Rights Reserved