癌症,在我们普通老百姓心目中,跟魔鬼一样,因为它会夺走我们的生命,更让人感觉到恐惧的是很多恶性肿瘤刚开始很难发现,而被发现时往往已是中晚期,来不及治疗。如果有一种检查能够早期发现癌细胞,是不是可以把癌症扼杀在摇篮里呢?
答案是:有,那就是PET/CT。市四医院于2021年1月6日启用PET/CT至今,已有近4年时间,医务人员积累了丰富的诊断经验,
案例1
近期,在外务工的市民何先生无意间发现自己左颈部出现有肿块,随后去到当地医院检查,超声提示其左颈部有一个4.9厘米×2.9厘米的包块,彩超提示为:双侧颈部多发淋巴结。为得到进一步诊断和治疗,何先生选择回到了自贡,在市四医院进行PET/CT检查提示为食管癌伴颈部纵隔淋巴结转移。随后,医务人员为其进行胃镜下活检,明确为食管鳞癌。病情得以明确后,何先生在市四医院得到了妥善的治疗。


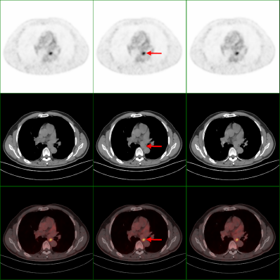
案例2
近期,李女士在体检时发现,其肺部存在一个直径约1.1厘米的压实性结节影,并且该结节形态欠规则,边缘模糊。当地医院临床医生高度认为该结节为恶性肿瘤。吓坏了的李女士为得到准确诊断,来到了市四医院核医学科进行了PET/CT检查。对照PET/CT图像,医务人员仔细辨别后,认为其为炎性病变。后经病理检查,证实了医务人员的判断。看到恶性肿瘤被排除的检查结果,压在李女士心头的大石头总算落了地。

医务人员介绍,PET/CT是高端的医学影像诊断设备,它可以灵敏反映各脏器的功能和代谢状况,其检查结果被形象地称为医学影像上的“半透明人”,能发现超早期处于代谢异常状态的恶性肿瘤,使人类早期诊断恶性肿瘤的梦想得以实现,被称之为探测肿瘤的“雷达”或发现肿瘤的“神探”。
PET/CT有哪些优势?
PET/CT是一种既具有PET能量代谢功能,又兼顾CT解剖成像两种设备优势融合的高端显像设备,通过PET/CT不仅可以评估原发病灶,同时可以了解全身情况,有利于制定最佳治疗方案,具体优点如下:
1.作为放射影像诊断学的高端设备,PET/CT的运用是医学发展的自然选择的结果,是为满足人民群众对于疾病特别是肿瘤性病变早期精准诊断的迫切需求而应运而生。客观地讲,放射诊断设备从CR/DR的能看得见,到CT的看得清,再到磁共振的看得准,再到PET/CT的看得早,都是医学发展进步的标志。PET/CT特别是临床症状及体征不明显或未发现形态学改变时就可发现微小病灶,做到疾病早发现、早诊断、早治疗,明显改善患友生存质量。
2.可对生物特性进行评价,PET/CT有进行SUV标准化摄取率定量分析体内生物化学改变的检查手段,广泛运用于良恶性肿瘤的诊断与鉴别诊断,恶性病变分期、分级及肿瘤疗效的评估等方面。
3.灵敏度高,准确度可达90%以上。
4.一次注射显像剂后亦可完成全身检查,不仅可以发现全身疾病,若在其他位置发现原发灶,还可通过PET/CT全身大范围寻找转移灶,如卵巢癌,颈部淋巴结转移等。
5.对肿瘤治疗评估有较大优势,可进行肿瘤放疗、化疗前后的比较,监测病灶的变化情况等。
PET/CT的适应人群有哪些?
生活压力大、身体透支人员
工作压力大,生活起居没有规律,加上应酬较多,身体长期处于透支状态,有些疾病已处于潜伏期,等出现症状再做检查,为时已晚。因此,此类人员要定期去医院检查身体,最好一年能做一次防癌检查,如PET/CT检查,排除重大隐疾,保持健康,创造更大价值。同时,加强身体锻炼,提高身体的免疫能力,调节好生活规律。
长期疾病史者
由于患病已久,如罹患乙肝、慢性萎缩性胃炎等,平日大多以药物控制,这类人尤其需要注意身体检查,特别是当出现症状程度逐渐加重时,一定要引起重视。具有长期慢性病史的人群应该定期进行PET/CT检查,排除一些病情加重及并发症,做到早期发现,避免更大的损失。
肿瘤家族史人群
肿瘤家族史人群,是指家族几代都有肿瘤病史。经科学研究,癌症具有一定的遗传性,尤其是食道癌、肺癌、乳腺癌、胃癌、肠癌等常见恶性肿瘤,如父母有此类病史,子女患该病的概率高出数倍。因此,有家族肿瘤史的人群进行早期检测监控是非常有必要的。建议这类人群保持健康的生活方式和定期进行PET/CT防癌筛查的良好习惯。
不良生活习惯者
长期作息无常、暴饮暴食、酗酒抽烟等;没有良好的卫生习惯等;平日经常咳嗽、咳痰、胸痛、痰中带血、呼吸困难等症状;大便不规律、便中带血、腹部肿块;进行性消瘦,体重下降明显等等,这些情况均需引起重视,通过准确的检查诊断,降低肿瘤的发生概率,做到早期发现,早期治疗。
PET/CT具体运用于哪些疾病的诊断?
目前运用在临床当中,主要有三大领域:包括肿瘤、心脏以及脑神经疾病。其中90%以上是运用在肿瘤领域。在肿瘤方面的应用主要是有以下几点:
1.用于肿瘤的早期诊断,做到早诊断、早治疗。
2.用于手术前的评估。
3.用于肿瘤良恶性的鉴别诊断,肿瘤的复发监测、术后瘢痕以及残留组织的评估。
4.用于肿瘤原发灶的寻找。
5.用于肿瘤生物靶区规划,以及确定外科手术切除的范围。
6.用于协助外科医生进行肿瘤穿刺。
7.用于肿瘤药物的研究,以及新技术、新项目治疗的评估。
8.用于心脏心肌细胞的评估,PET/CT是心肌细胞存活评估的一个“金标准”。
9.用于脑神经疾病方面,PET/CT可以用于脑功能的评估方面,包括痴呆、脑胶质瘤诊断、临床分期以及预判复发等。
PET/CT的检查流程
1.携带PET/CT检查申请单至核医学科(汇东院区综合楼1楼2号门)预约。
2.携带已有检查资料,如:CT、磁共振、超声以及病理化验的结果等,根据预约时间前来检查。由于放射性核素的特殊性,若不能按时前来,请提前24小时致电重新预约时间,否则药费损失由受检者承担。
3.病史采集:医生将询问及记录患者病史、诊治经过、影像学检查资料等。
4.静脉注射显像剂,注射后请按指定地点安静休息,避免紧张体位,避免交谈,注射显像剂后需等待40-60分钟行PET/CT检查。
5.PET/CT检查前排空膀胱,排小便时请避免小便污染体表及衣裤,如有污染请告知医生。上检查床前请先取出体表的金属物品(如腰带、钥匙、项链、首饰、硬币等)。
6.根据病情需要,部分患者需要进行1-2次延迟显像,检查完毕,医师观察图像质量满意,告知患者方可离开。
7.一般情况于下,检查后次日下午3点持预约单领取检查报告。