在生活中,你是不是发现自己孩子存在这样一些问题,孩子走路姿势不正确,走路疼痛,好像有些八字脚,鞋子磨损的很厉害,这有可能是有扁平足,对于儿童青少年扁平足应坚持“四早原则”,即早发现、早干预,早矫正,早恢复功能。
一、什么是扁平足?
扁平足又称平足症,是指足弓部分或者全部塌陷,导致足部内侧向下垂。它可能由先天或后天因素导致,足弓的形状有助于吸收和分散身体重量,提供支撑和稳定性,保护足底重要血管神经等组织。宝宝出生时因足底脂肪较多,足弓不明显,这个阶段是正常的生理性扁平足阶段,一般3-4岁才逐渐开始出现足弓,有学者认为,婴儿期到6岁出现扁平足属于正常,对于大于6岁,在青少年期仍存在的扁平足,家长就需要关注了。

扁平足有哪些危害?
扁平足的儿童,由于足踝部结构上的异常,常常会带来一系列的并发症
危害一:足部疲劳
危害二:关节磨损
危害三:步态异常
危害四:拇指外翻畸形
危害五:容易扭伤
三、如何早期发现扁平足呢?
目前检查扁平足的方法很多:
足印法:双脚微湿,双足齐站在A4纸上,留下水印。

画线法:上下观中足与足趾连线,直线正常,内弯属扁平足。

后观足后踝,直线正常,向内弯曲属扁平足。

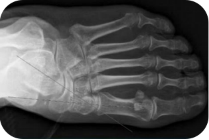
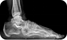
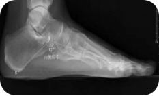
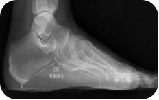
X线测量法:第一跖骨距骨角、距舟覆盖角及跟骨倾斜角等参数的测量,对足进行影像学评估。


足负重前后位、足负重侧位(足内弓角测量、外弓角测量、跟骨倾斜角)。


计算机三维重建技术:快速重建出受测者足底的三维模型,数据分析,快速进行扁平足的筛查。

足底压力检测法:足底压力的分布情况和力量情况,足部的形态和功能、静态站立足底压力评估、动态走路足底压力评估

四、如何早期干预扁平足?
首先扁平足越早发现越好,越早矫正越好,早期的扁平足我们使用保守方法干预
加强足部肌肉:
1.足内在肌训练,毛巾卷曲运动、足趾拾弹珠练习、缩足运动。


2.足外在肌训练,胫骨后肌、结合足内在肌强化训练。


3.足部综合训练,足趾瑜伽、足尖走/轻跑/跳绳/下蹲和起立练习


保持合适的体重:控制体重,减轻足部负担。
对于症状明显的扁平足,建议在专科医生的指导下,配穿专业定制的矫形鞋和鞋垫,为足踝提供稳定支撑。
如果儿童有以下情况就需要手术治疗
1.矫形鞋垫无效时
2.因足弓低平,软骨退变,出现疼痛导致行走受限的情况。
3.可能会引起关节退变的僵硬性扁平足。
温馨提示:扁平足手术在8-14岁这个周期内进行,8-10岁是手术的黄金时期,18岁以后足弓基本成型,干预就很困难。
出现上述类似症状,家长需要密切关注,及时带孩子就医,尽早干预,共同呵护孩子的脚。